
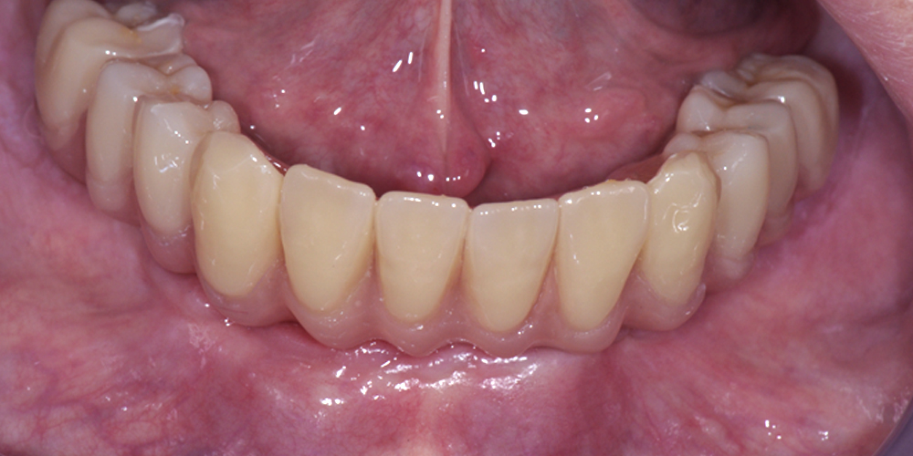
Le protesi su impianto si distinguono in fisse (cementate o avvitate) e rimovibili. Sono l’espressione più moderna dell’odontoiatria protesica e possono sostituire il dente singolo, fino ad arrivare ad arcate intere. Anche in questo caso è possibile ricorrere all’utilizzo di ponti poiché non è sempre necessario sostituire con un impianto ogni radice mancante. L’unica differenza sta negli elementi pilastro, costituititi da radici artificiali invece che da denti naturali.

Oltre alle classiche corone a sostituzione del singolo dente, un esempio tipico di protesi su impianto è la “Toronto Bridge”, nota anche come “all-on-4” o “all-on-6”, in cui un’intera arcata viene avvitata su 4 o 6 elementi.
Sono disponibili anche soluzioni rimovibili, le cosiddette “overdenture”, protesi totali con sistema di bloccaggio rapido montato su impianti: normalmente una barra – che ha funzione di stabilizzazione e rinforzo – oppure attacchi a sfera, a pressione, etc.
