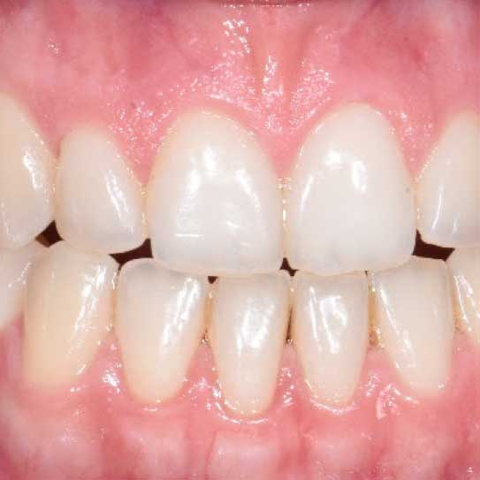
Caso clinico di implantologia protesicamente guidata
Tempo di realizzazione: 2 ore >> QUANDO LA PRECISIONE FA LA DIFFERENZA. In questo caso clinico, la progettazione non ha riguardato solo la fase chirurgica, ma anche quella protesica, richiedendo un livello di precisione superiore rispetto ai protocolli tradizionali: posizione,…
