L’implantologia computer guidata a carico immediato è una procedura avanzata che permette di posizionare gli impianti dentali e montare una protesi provvisoria subito dopo l’intervento. Questo approccio è particolarmente vantaggioso per i pazienti che desiderano evitare il lungo periodo di attesa tra il posizionamento degli impianti e l’applicazione della protesi, che può variare dai tre ai sei mesi con le metodiche implantari tradizionali.
Un ulteriore vantaggio è evidente nei casi in cui debbano essere estratti i denti nei quali si può eseguire tutta la procedura in un’unica seduta chirurgica

Caso in cui nell’arcata superiore sono presenti un impianto e cinque denti da estrarre

In una sola seduta si procede alle estrazioni, infissione di impianti e consegna del provvisorio
Dettagli della procedura
1. Acquisizione delle immagini digitali
La prima fase prevede una TAC o una scansione CBCT (Cone Beam Computed Tomography) 3D della bocca e delle strutture ossee del paziente. Questi dati sono fondamentali per valutare la qualità e la densità dell’osso, oltre alla posizione di eventuali nervi o cavità sinusali.
La seconda fase prevede un’impronta con una scansione ottica (che sostituisce le impronte tradizionali) per mettere in relazione il quadro radiografico con quello clinico. (Queste informazioni consentono di capire se la procedura a carico immediato è possibile, poiché richiede una quantità sufficiente di osso per sostenere gli impianti).
2. Pianificazione digitale avanzata
Le immagini raccolte vengono caricate in un software di pianificazione che ricrea un modello tridimensionale della bocca del paziente. In questa fase, il dentista può definire con estrema precisione il numero e la posizione degli impianti, nonché l’orientamento, la lunghezza ed il diametro con cui dovranno essere inseriti. La pianificazione prevede anche la realizzazione della protesi provvisoria, che verrà posizionata subito dopo gli impianti.

Esempio di pianificazione dell’impianto (in verde)

Esatta corrispondenza dell’inserimento implantare
Nella proiezione tridimensionale della foto di destra si nota in alto a sinistra il posizionamento dei sei impianti nello spessore osseo, in basso a sinistra gli impianti visti in posizione frontale, sulla destra le nove sezioni ossee con l’impianto visto da proiezione laterale.
3. Creazione della dima chirurgica
Il progetto viene utilizzato per realizzare una dima chirurgica personalizzata, solitamente tramite stampa 3D.
La dima è una sorta di “mascherina” che si adatta perfettamente alla bocca del paziente e presenta dei fori in corrispondenza delle posizioni in cui verranno inseriti gli impianti.

Dima chirurgica trasparente con i fori in corrispondenza degli impianti
4. Intervento chirurgico con carico immediato
Posizionamento degli impianti
Questa dima quindi garantisce che ogni impianto venga posizionato esattamente come previsto dalla pianificazione digitale, come è facilmente osservabile dalla foto sottostante.

Modello tridimensionale dell’arcata del paziente con gli impianti inseriti secondo la progettazione
5. Montaggio della protesi provvisoria
Subito dopo il posizionamento degli impianti, il dentista fissa una protesi, realizzata già in fase di progettazione e che testimonia la precisione della pianificazione. Questa permette al paziente di masticare subito dopo l’intervento. Questi denti provvisori sono progettati per essere funzionali e stabili.

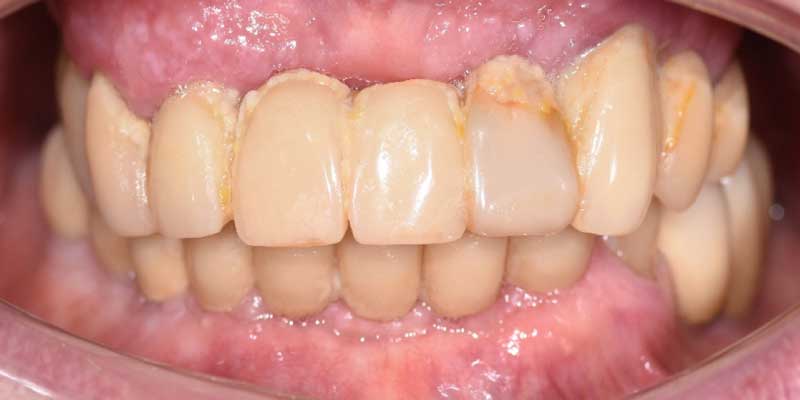
Aspetto della protesi prima dell’intervento

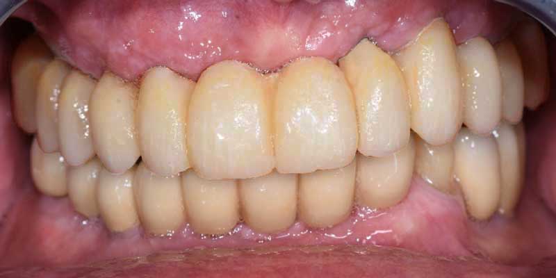
Aspetto della nuova protesi dopo l’intervento
6. Fase di guarigione
Durante i mesi successivi, in cui gli impianti si integrano all’osso (processo chiamato osteointegrazione), il paziente porta la protesi temporanea che verrà sostituita con quella definitiva solo quando gli impianti saranno completamente integrati (circa dopo 3 mesi).
Vantaggi dell'Implantologia computer guidata a carico immediato
- Recupero funzionale e estetico immediato
Il paziente può tornare a masticare e sorridere il giorno stesso dell’intervento, evitando la necessità di restare senza denti o di utilizzare protesi mobili temporanee. - Precisione elevata
La pianificazione digitale e l’uso della guida chirurgica permettono di inserire gli impianti con estrema accuratezza, riducendo il rischio di lesioni a strutture delicate come nervi e seni mascellari. - Riduzione del trauma chirurgico
Grazie alla precisione e alla pianificazione, l’intervento è meno invasivo, riduce il gonfiore e il dolore post-operatorio anche perché non necessita di apertura dei lembi e successiva sutura. - Riduzione dei tempi e del numero di sedute necessarie
Il carico immediato consente di completare l’intervento in un’unica sessione, riducendo il numero complessivo di visite e il tempo richiesto per ottenere un risultato definitivo.
In sintesi, l’implantologia computer guidata a carico immediato consente di ottenere risultati predicibili grazie a un’approfondita pianificazione digitale, all’uso di guide chirurgiche personalizzate e alla possibilità di applicare una protesi provvisoria subito dopo l’inserimento degli impianti. Questo rende il trattamento più rapido e confortevole, e permette al paziente di godere subito di una piena funzionalità e di un sorriso esteticamente gradevole evitando il disagio di una protesi mobile solitamente molto mal sopportata soprattutto nei casi in cui sia necessario estrarre più denti.
Nota: questa metodica è sconsigliata nel caso in cui siano presenti infezioni delle radici o dell’osso al momento dell’intervento.
